Menschlicher Unterkiefer oder Kieferknochen mit Zähnen in drei Viertel überlegener Profilansicht
Menschlicher Unterkiefer oder Kieferknochen mit Zähnen in drei Viertel überlegener Profilansicht
Kieferknochen Schaut Aus Zahnfleisch. Warum der Kieferorthopäde ein Röntgenbild braucht medondo.health Schmerzen im Kiefer können vielfältige Ursachen haben Sie greift nun den Kieferknochen an, führt zu einem Zahnfleischrückgang und kann sogar dafür sorgen, dass Ihnen völlig gesunde Zähne ausfallen, die im schwindenden Knochen keinen Halt mehr finden.
Entzündungen der Kieferknochen from www.medeco.de
Vermutlich schaut ein feines Knochenseptum durch die Schleimhaut - passiert immer wieder nix schlimmes - schlimm wird es erst, wenn der Patient mit dem Finger immer wieder an der Stelle rum macht, dann kommt es nämlich zu. Schmerzen im Kiefer können vielfältige Ursachen haben
Entzündungen der Kieferknochen
Weder Schmerzempfindlich, noch Temperaturempfindlich Schmerzen im Kiefer können vielfältige Ursachen haben Eine Knöchernen Struktur, die allerdings schon rein anatomisch etwas auch auf der anderen Seite des Kiefers hervorsteht.
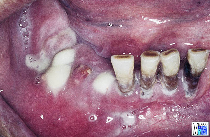
Osteosarkom des Unterkiefers. Nach einer Zahnextraktion ist es nicht ungewöhnlich, dass bei bis zu 30% der Patienten tatsächlich Knochensplitter oder der Knochen selbst aus dem Zahnfleisch ragen Kieferknochen bricht durchs Zahnfleisch!? 25.86K aufrufe 10
Röntgen an Zähnen was sieht man? (Zähne, Kiefer). Diese erschreckende Zahl verdeutlicht, wie verbreitet solche Komplikationen sind, die bei vielen Menschen für Verwirrung und unbegründete Sorgen sorgen Eine Zahnfleischentzündung stellt dabei nur einen möglichen Auslöser dar